On 6th June, I decided to go down and see my sisters for a week. I had, had an Assessment from a different Occupational Health and they said I could do a phased return to work, on the 27th July 2016 (my employer did this )
My then partner decided the night before (5th June ) that he had heard on the BBC news about the latest Stroke – Stem Cells trial. Basically, a clinical trial in patients with a limited movement of an arm following an Ischaemic Stroke, the trial was called Pisces II
Did an email, just to see if anything would come back. I didn’t know if this would get me anywhere but thought lets give it a shot. I told Julie, my youngest sister, that I had emailed Caroline (Stroke Research Practitioner) and I might receive an email
Literally , by the afternoon, Caroline had got in touch with me. She said that looking through me email it looked like I might be eligible, There are many other things to sort out first though……
She wanted to know where I lived, was it easy for me to get the National Hospital of Neurology and Neurosurgery in Queens Square? what was the Stroke ? Did I live a Healthy, normal life up until the time of the Stroke etc etc.
If the answers to the above seem to fit the criteria, then we would need to arrange a meeting with Caroline and Nick up there.
They would arrange an MRI scan as well, which may exclude me from taking part – The scan is done to see if the surgeon can safely get to the area to do surgery.
We would also need to take bloods which may also exclude me from taking part. We would have another meeting one month after the first one to check my arm has remained stable.
The other thing of note is that ReNeuron were aiming to close soon, by the end of July. They were not sure if we will be able to manage all the work that is required before that, so there is a chance that I may not be able to take part due to the study closing, however, they will try their best not to let this be the reason though.
So Caroline invited us up on 13th June. We would meet Dr Ward (Nick) take all the bloods that were needed and answer some other questions to start with. Also there was what the patient would receive, what was the purpose of this study etc etc (lots of paperwork ) and then a patient visit and evaluation schedule, which indicates when the visit is and when you will have that procedure done (which in my mind was the important one )
I didn’t care about the risks involved, I literally just wanted it done !
We went up to the Leonard Wolfson Experimental Neurology Centre, in Queen Square, London.
Caroline and Nick were so nice, they made me feel at ease and i didn’t feel like the world was on my shoulders in terms of coming to terms by having a Stroke. They were also really honest, stating that it was a Trial and they didn’t know what the outcome was going to be, if anything.
So, there was a few questions, like the Rivaroxaban, whether it could be stopped for surgery, bloods will come back in the next couple of day, and this will be a straight ‘yes’ or ‘no’
Then I would need to meet the Surgeon (this Friday) and have another MRI and again the Surgeon would have to look at it and say ‘yes’ or ‘no’
Then Nick would need to do a Medical Examination and check that my arm is stable.
So, if the surgery goes ahead for 20th July, we would need to do a pre assessment for surgery visit between 17th June and mid July, this was to meet the Anaesthestist and check everything is ok for surgery.
So, if we work towards 20th of July, I would be admitted 19th July, 20th July, morning would be surgery, I would be in ITU that night and then stay on the ward for approximately 48 hours and then go home on Friday 22nd.
There was loads and loads to take in, but as I said, I was doing it (before starting work again)
The Rivaroxaban proved quite difficult to stop, my local GP said to stop it and use heparin for 20 days through the operation etc. and then re start the Rivaroxaban, but everyone needed to agree this.
I met Caroline and Mr L Zrinzo (the surgeon) to talk about the procedure and then there was a MRI, it last 40 mins !( the blood test were fine! phew ) It was a Friday and I remember driving home thinking ‘what will be will be’ I got through this far – if the MRI shows something that shouldn’t be there then we will deal with it a different way etc etc, but hopefully it was going to be ok.
I woke up Saturday morning thinking I would do some Yoga and keep my mind else where but my partner had a phone call and it was Mr Zrino saying he had just finished looking at the MRI and it was fine, he could see the damaged part of my brain, but that was all !!!
Then the following week we went up to the London hospital on Wednesday, again we did some bloods and went through the same old same old just to get ready for the Operation.
We met with a lady called Renuka who did the Fugel-Myer assessment. At first I didn’t know what to expect but after a few tests it shows you what you ‘can’t’ do with you upper limb, what you need to do in line with your left limb and also what you need to concentrate to to get back to where you was pre stroke.,
We were going backwards and forwards and not getting anywhere really with the switch away from Rivaroxaban to Heparin.
A Doctor called Noha would be around tomorrow at 9, which was mad because the commute when it was good it took about 1 1/2 hours ….. But at 9am, it would have meant leaving at 6 !!! We decided to stay over in a Radisson Blu Edwardian Grafton (Tottenham Court Road) instead of commuting. We took a cab over to the Hotel, we had nothing to wear, it was mad, but in a way it was just so nice of all of them at the Hospital, they just wanted to do the operation and then see what happened next. We sat outside Mcdonalds, it was about 4 o’clock and just watched the world go by for a bit.
I will never forget that moment, of thinking again, that its fine, I am having a really nice time and I am alright.
The next morning after breakfast we headed of to the Hematology Clinic, again we went through Rivaroxaban blood tests etc etc.
Noha decided that I would go with the Rivaroxaban up until 72 hours before the surgery and then no Rivaroxaban as I had, had it for 6 months (and along side some tests) I didn’t need it, however that was the Doctor in Medway to decide on whether I should take it gain.
Hoorah !!!! everything was fallen in to place.
Caroline had done me a schedule on when I was supposed to take the last Rivaroxaban, coming up to the ward, admission sorted etc etc.
So, on 19th July, we went up into the hospital and did the necessary arrangements, then we had lunch and it was weird, I felt as though I was calm and although I didn’t know what was going to happen at all after the surgery it was fine, i can’t explain, but from 6 months on from having a stroke nothing really mattered anymore, I just had to come through it and move forward with whatever. I signed my consent form and that was it until the morning.
I met Caroline in the Anesthetic room prior to the operation and I said could I have a picture of me, during the operation, which she kind of laughed but said of course .
During surgery, and under a general anaesthetic, a guide frame to help to ensure that the stem cells are injected into the correct area of the brain, will be fitted to the skull using a CT scan (a computerised x-ray) or an MRI scan (a technique that uses magnetic waves to create pictures of an area of the body).
A small hole (around 4 mm diameter) will then be drilled through the skull to allow the injection of the stem cells. It may be necessary to make more than one hole to help the surgeon target the location of the stroke. The stem cells will be injected through the hole delivering approximately ½ millilitre of liquid (the same as one tenth of a teaspoon). This will contain 20 million cells.
After the injections have been completed, the skin on the scalp will be closed with stitches or clips, and the patient will be transferred from theatre to the ward to recover. The entire procedure is expected to take approximately 4 ½ hours.
This was part of the clinical trial.

Now, how weird is that ?
I woke up at 5pm, I didn’t go to sleep until about 11am. I was in ITU. The nurse asked me a series of questions, what was my name ? how old was I etc.
I couldn’t remember anything lol . I was woken up each hour again and asked the same amount of questions until 5am when I finally got it ! Even the Nurse said ‘hurrah’
I then spent until 11am (Thursday) having tests etc with the Doctor and then I was allowed go onto the Ward.
Unfortunately, the rest of the patients on ITU were seriously ill and it made me sad for them.
My mum and dad came up in the afternoon and said my speech was much better already and then Friday I went home.
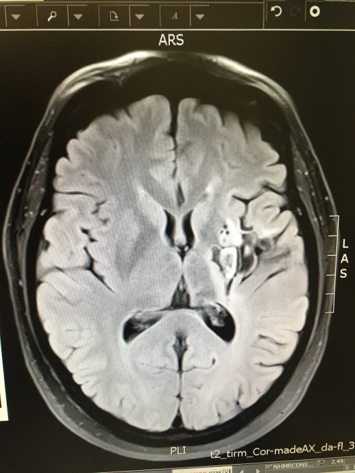
I had lots of papers, especially Surgical Report ‘CTX Stem cell Infiltration into left putamen’ this is when Mr Zringo did a report to say when had happened. Unfortunately I returned home with a some sutures which kept my brain from getting out lol !!! and they had to stay there for a week.
We had to go up on the following week and have blood test, Fugel-Myer assessment which was repeated again at 3 months.
At 6 months we went back to see Caroline, Nick & Runuka. I feel that the whole ‘brain thing’ had made a huge difference to lot of things.
By the end of the trial (a year) The Stem cells stimulate the brain to regenerate and create new connections to replace the broke ones caused by the stroke. I feel I have had a very positive response to the stem cells with noticeable improvements in all areas effected by the stroke, these improvements continue every day.

This is a picture of my brain, you can see the damaged area half way up and slightly to the right, with the stem cell insertion holes just above it shown as three black dots.

